10 Hausmittel gegen Zahnfleischentzündung, die wirklich wirken!

0
(0)

Jan , 31. 01. 2026

Artikelinhalt

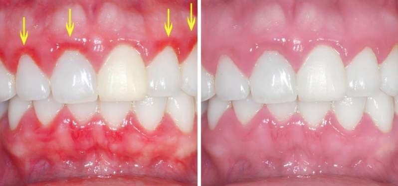
Zahnfleischentzündung ist ein sehr häufiges Problem, das zu schwerwiegenderen gesundheitlichen Komplikationen führen kann, wenn es nicht richtig behandelt wird. Bevor Sie zu Medikamenten greifen, probieren Sie einige dieser natürlichen Hausmittel aus, die Ihnen helfen können, die Symptome zu lindern und die Gesundheit Ihres Zahnfleisches zu fördern.

1. Grüner Tee

Grüner Tee ist reich an Antioxidantien, die helfen, Entzündungen im Körper zu reduzieren. Regelmäßiges Trinken von grünem Tee kann helfen, Zahnfleischentzündungen vorzubeugen und Ihr Zahnfleisch gesund und stark zu halten.

2. Wasserstoffperoxid

Wasserstoffperoxid besitzt starke antibakterielle Eigenschaften. Sanftes Reiben des Zahnfleisches mit Wasserstoffperoxid kann helfen, schädliche Bakterien im Mund zu beseitigen, die Zahnfleischentzündungen verursachen. Achten Sie jedoch darauf, das Peroxid nicht zu schlucken, da es in größeren Mengen gefährlich sein kann.

3. Kurkuma-Paste

Kurkuma-Paste ist für ihre entzündungshemmenden und antimikrobiellen Wirkungen bekannt. Mischen Sie 1 Teelöffel Kurkuma mit 1/2 Teelöffel Salz und 1/2 Teelöffel Senföl. Tragen Sie diese Mischung auf das Zahnfleisch auf, um die Entzündung zu lindern und dessen Gesundheit zu fördern.

4. Salbei-Mundwasser

Salbei hat natürliche entzündungshemmende Eigenschaften. Bereiten Sie ein Salbei-Mundwasser zu, indem Sie zwei Esslöffel frischer oder getrockneter Salbeiblätter mit einer Tasse heißem Wasser übergießen. Lassen Sie es 10 Minuten ziehen, seihen Sie ab und verwenden Sie es nach dem Abkühlen zum Ausspülen des Mundes.

5. Salzwasser

Salzwasser wirkt als natürliches Desinfektionsmittel, das hilft, Entzündungen zu lindern und Bakterien im Mund abzutöten. Lösen Sie einfach einen Teelöffel Salz in warmem Wasser und gurgeln Sie mehrmals täglich. Eine tägliche Anwendung wird jedoch nicht empfohlen, um Schäden am Zahnschmelz zu vermeiden.

6. Zitronengrasöl

Eine Mundspülung mit Zitronengrasöl ist wirksam bei der Reduzierung der Plaquebildung, der Hauptursache für Zahnfleischentzündungen. Geben Sie einfach zwei bis drei Tropfen Öl in ein Glas Wasser und gurgeln Sie dreimal täglich.

7. Natron

Natron neutralisiert Säuren im Mund und hilft, Zahnfleischerkrankungen vorzubeugen. Mischen Sie es mit Wasser, bis eine Paste entsteht, die Sie sanft auf das Zahnfleisch auftragen und einwirken lassen.

8. Kokosöl

„Ölziehen“ mit Kokosöl im Mund, bekannt als oil pulling, ist eine traditionelle Methode, die helfen kann, die Gesundheit des Zahnfleisches zu verbessern. Obwohl wissenschaftliche Belege fehlen, berichten viele Menschen von Verbesserungen bei regelmäßiger Anwendung.

9. Regelmäßiges Zähneputzen

Der grundlegende und wichtigste Schritt zur Vorbeugung von Zahnfleischentzündungen ist das Zähneputzen mindestens zweimal täglich. So entfernen Sie Plaque und Bakterien, die Entzündungen verursachen können.

10. Verwendung von Zahnseide

Zahnseide hilft, Speisereste zu entfernen, die sich zwischen den Zähnen festsetzen und die durch die Bürste nicht entfernt werden können. Die regelmäßige Verwendung von Zahnseide verhindert Plaquebildung und Zahnfleischentzündungen.

Fazit

Diese natürlichen Mittel können Ihnen helfen, Ihr Zahnfleisch gesund zu erhalten und Entzündungen zu lindern, falls sie auftreten. Es ist jedoch immer ratsam, Ihren Zustand mit einem Zahnarzt zu besprechen, insbesondere wenn die Symptome anhalten oder sich verschlimmern. Setzen Sie Ihre Mundhygiene an erste Stelle und probieren Sie einige dieser Tipps für ein gesundes und strahlendes Lächeln aus!