ACHTUNG: So signalisiert Ihr Körper, dass Sie eine Lungenentzündung haben!

0
(0)

Jan , 31. 01. 2026

Artikelinhalt

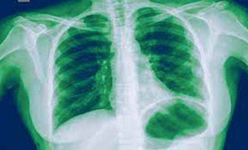
Die Lungenentzündung (Pneumonie) ist eine ernsthafte Erkrankung, die die Lungen befällt und verschiedene Ursachen haben kann. Obwohl es sich häufig um eine durch Bakterien, Viren oder Pilze verursachte Infektion handelt, kann sie auch durch schädliche physikalische oder chemische Stoffe entstehen. Diese Erkrankung kann einen gefährlichen Verlauf nehmen, besonders bei Kindern, älteren Menschen und Personen mit geschwächtem Immunsystem.

Was ist eine Lungenentzündung?

Eine Lungenentzündung ist eine entzündliche Erkrankung des Lungengewebes, die unterschiedlich stark ausgeprägt sein kann. Die Symptome können von mild bis sehr schwer reichen und in manchen Fällen eine Hospitalisierung erforderlich machen. Eine bakterielle Pneumonie, am häufigsten verursacht durch die Bakterien Streptococcus pneumoniae, Haemophilus influenzae und Staphylococcus aureus, ist ein häufiger Auslöser dieser Erkrankung. Lungenentzündungen können jedoch auch durch Viren verursacht werden, die etwa die Hälfte der Fälle ausmachen.

Die häufigsten Symptome einer Lungenentzündung

Die Symptome einer Lungenentzündung sind vielfältig, aber einige Anzeichen treten sehr schnell auf und können darauf hinweisen, dass ein Arzt aufgesucht werden sollte. Zu den häufigsten Symptomen gehören:

  • Plötzliches, hohes Fieber: Eine Pneumonie äußert sich häufig durch einen starken Anstieg der Körpertemperatur, manchmal bis zu 40 °C. Dieser Zustand kann von Schüttelfrost begleitet sein.

  • Starker Husten: Der Husten ist meist heftig und oft mit Auswurf verbunden. Es kann sich grülich verfärbter oder eitriger Schleim zeigen.

  • Schwäche und allgemeines Unwohlsein: Patienten fühlen sich oft sehr müde, schwach und matt.

  • Schneller Puls: Die Herzfrequenz kann deutlich ansteigen und in manchen Fällen bis zu 120 Schläge pro Minute erreichen.

  • Kopf- und Muskelschmerzen: Eine Pneumonie wird oft von Kopf‑ und Muskelschmerzen sowie einem allgemeinen Gefühl körperlicher Erschöpfung begleitet.

Wann sollte man einen Arzt aufsuchen?

Wenn Sie eines der oben genannten Symptome bemerken, ist es wichtig, den Arztbesuch nicht aufzuschieben. Eine Lungenentzündung kann schwerwiegend sein und, wenn sie nicht behandelt wird, zu Komplikationen führen, insbesondere bei älteren Menschen, Kindern und Personen mit geschwächtem Immunsystem.

Wie kann man einer Lungenentzündung vorbeugen?

Eine Pneumonie kann man durch Stärkung des Immunsystems, richtige Hygiene und regelmäßige Impfungen vorbeugen. Die Impfung gegen Pneumokokken, die häufig Verursacher bakterieller Pneumonien sind, wird insbesondere Risikogruppen empfohlen.

Denken Sie daran, dass eine rechtzeitige Diagnose und Behandlung einer Lungenentzündung schwere Komplikationen verhindern und Ihre Genesung beschleunigen kann.