Der Mann hatte monatelang unerträgliche Rückenschmerzen. Erst das Röntgenbild zeigte einen schockierenden Befund, und der Arzt traute seinen Augen nicht.

Jan , 31. 01. 2026

Artikelinhalt

Der menschliche Körper ist ein sehr komplizierter Mechanismus, der uns warnen kann, wenn etwas nicht in Ordnung ist. Er sendet klare Signale, die jedoch viele Menschen ignorieren und sich so künftige erhebliche Beschwerden einhandeln. Manchmal entdeckt erst der Arzt eine verschlechterte Gesundheit, wie es auch in diesem Fall geschah.

Wahre Begebenheit

Die Geschichte, die wir Ihnen bringen, hängt genau mit dem Thema vernachlässigter Gesundheit zusammen. Das Unangenehme ereignete sich einem Mann, der achtunddreißig Jahre alt ist und in São Paulo, Brasilien, lebt. Er begann, Schmerzen in der Wirbelsäule zu verspüren, die ihm die täglichen Bewegungen erschwerten, und er war nicht in der Lage, seine Arbeit zu verrichten. Schließlich, als er sah, dass die Schmerzen von Tag zu Tag stärker wurden, entschied er sich, medizinische Hilfe aufzusuchen.

Überraschende Entdeckung

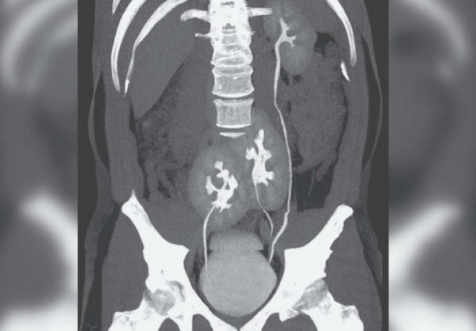
Die Ärzte rieten ihm zu einer Röntgenaufnahme, aber auch sie waren überrascht von dem, was die Aufnahmen zeigten. Die Bilder zeigten, dass er ein gewöhnliches Problem hatte, das täglich behandelt wird, doch außerdem war zu sehen, dass er drei Nieren hat. Auf der linken Seite hatte er eine völlig normale Niere, während sich auf der rechten Seite zwei Nieren befanden, die laut den Aufnahmen miteinander verbunden waren.

Ungewöhnliche Anordnung der Organe

Die Harnleiter waren zu einem einzigen zusammengeführt, direkt am Austritt in die Harnblase. Viele Menschen könnten meinen, dass dieser Mann Glück hat, weil er drei Nieren besitzt, doch dieser Fall ist im Gegenteil sehr ernst. Vielleicht denken Sie, dass eine Niere im Laufe des Lebens ausfallen könnte, wie es bei manchen Menschen oft vorkommt, und der Mann deshalb im Vorteil wäre. Den Ärzten zufolge ist dem jedoch nicht so.

Ähnliche Situationen kommen selten vor

Solche Phänomene sind eine echte Seltenheit, und weltweit wurden bisher nur hundert solcher Fälle registriert. Dieses Phänomen wird als überzählige Niere bezeichnet, und was diesen konkreten Patienten betrifft, so funktionierten seine Nieren gut und beeinträchtigten seine Gesundheit nicht.

Das muss aber nicht immer so sein. Manchmal ist ein zusätzliches Organ eine Belastung für den Körper und verursacht nur Unannehmlichkeiten. Andere Körperteile versagen dann, und es ist notwendig, das Organ operativ zu entfernen.