Mein Mann hatte oft Schluckauf und dann gingen wir zum Arzt. Was dort aufgedeckt wurde, zerstörte alles!

0
(0)

Jan , 31. 01. 2026

Artikelinhalt

Schluckauf ist ein bekanntes Phänomen, das die meisten von uns erlebt haben. Dieses unangenehme Geräusch wird durch unwillkürliche Krämpfe des Zwerchfells verursacht, bei denen es zu einem schnellen Einatmen kommt. Luft wird über die Stimmbänder in die Lunge gezogen, die sich reflexartig schließen, wodurch das typische Schluckauf-Geräusch entsteht. In der Regel handelt es sich um eine harmlose und vorübergehende Angelegenheit, die von selbst verschwindet, aber in einigen Fällen kann Schluckauf ein Anzeichen für ein ernsthafteres Problem sein, wie auch in unserer Geschichte gezeigt wurde.

Wann ist Schluckauf normal und wann sollte er Anlass zur Sorge geben?

Wenn der Schluckauf nur einige Minuten oder Stunden anhält und von selbst oder nach Anwendung von Hausmitteln verschwindet, besteht kein Grund zur Sorge. Es ist ein häufiger, wenn auch lästiger Vorgang, der in der Regel nichts Ernstes bedeutet. Zu wirksamen Hausmitteln, um den Schluckauf loszuwerden, gehören zum Beispiel:

  • Den Atem für 30 Sekunden anhalten
  • 9 kleine Schlucke Wasser trinken
  • Einnehmen einiger Tropfen Zitronensaft (kann auch Kindern helfen)
  • Trocken einen kleinen Teelöffel Kristallzucker schlucken
  • Ein Niesen hervorrufen

Wann ist es Zeit, einen Arzt aufzusuchen?

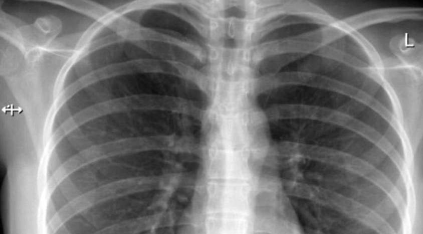
Wenn der Schluckauf jedoch mehrere Stunden oder Tage anhält oder häufig wiederkehrt und sich verschlimmert, kann dies ein Zeichen für ein schwerwiegenderes Problem sein. In unserer Geschichte litt der Ehemann langfristig unter Schluckauf, und erst der Arztbesuch enthüllte, dass sich hinter diesem scheinbar harmlosen Symptom eine ernste Erkrankung verbarg. Zu den weniger häufigen, aber schweren Ursachen von Schluckauf gehören:

  • Pneumonie (Lungenentzündung)
  • Perikarditis (Herzbeutelentzündung)
  • Lebervergrößerung oder Cholezystitis (Gallenblasenentzündung)
  • Reizung des Zwerchfells durch schädliche Substanzen im Blut, zum Beispiel Abfallstoffe bei Nierenversagen
  • Hirntumor oder Schlaganfall, die das Atemzentrum stimulieren und Schluckauf verursachen können

Schluckauf und Chemotherapie

Laut der medizinischen Zeitschrift American Cancer Society tritt Schluckauf bei 30 % der mit Chemotherapie behandelten Patienten auf. Dieses Symptom kann nicht nur lästig, sondern auch sehr erschöpfend sein, insbesondere wenn es über längere Zeit anhält.

Fazit

Wenn der Schluckauf anhält, sich verschlimmert oder wiederkehrt, ist es notwendig, ärztliche Hilfe in Anspruch zu nehmen. Auch wenn Schluckauf häufig nur ein harmloses Phänomen ist, kann er ein Warnsignal für eine ernstere Erkrankung sein. Unterschätzen Sie langanhaltenden Schluckauf nicht und konsultieren Sie lieber einen Facharzt.